Anamnese
5-jarige merrie, die sinds 2 maanden recurrente hyperthermie vertoont en licht gestegen leverwaarden. Initieel werd een symptomatische behandeling ingesteld met antibiotica (penicilline) en sedochol om de lever te ondersteunen. Er werd geen beterschap gezien. De hyperthermie reageert telkens goed op het toedienen van NSAIDs. Sinds een maand vermagert de merrie. Ze wordt lichtjes apathisch.
De merrie werd doorgestuurd voor verder onderzoek.
Klinisch onderzoek
Klinisch is de merrie normaal, ze is rustig maar niet apathisch. Haar eetlust is goed. Ze heeft een normale hart-, long- en intestinale auscultatie. Haar slijmvliezen hebben een normale kleur en de capillaire vullingstijd is normaal. Ze heeft een kleine hoeveelheid ventraal oedeem.
Bloedonderzoek
| Witte bloedcellen | 7.79 | 5.10-12.50 10^3/uL |
| Neutrofielen | 6.35 | 2.18-6.96 10^3/uL |
| Lymfocyten | 1.04 | 1.32-5.86 10^3/uL |
| Monocyten | 0.37 | 0.05-0.92 10^3/uL |
| Eosinofielen | 0.03 | 0.01-1 10^3/uL |
| Basofielen | 0 | 0-0.10 10^3/uL |
| Rode bloedcellen | 8.39 | 5.30-13.00 10^3/uL |
| Hemoglobine | 14.4 | 10-15 g/dL |
| HCT | 43 | 32-45% |
| Gemiddeld eyrtrocyten volume (MCV) | 51 | 34-59 fL |
| Gemiddelde hoeveelheid hb per erytrocyt (MCH) | 17.1 | 34-59 fL |
| Gemiddelde corpusculaire hb concentratie (MCHC) | 33.5 | 31-37 g/dL |
| Erytrocyten distributiebreedte (RDW-CV) | 18.3 | 15-21% |
| Bloedplaatjes | 189 | 95-500 10^3/uL |
Conclusie hematologie: normale witte bloedceltelling met lichte lymfopenie.
| Ureum | 0.39 | 0.16-0.5 g/l |
| Creatinine | 12.3 | 0-22 mg/l |
| Totaal bilirubine | 15 | 0-25 mg/l |
| Geconjugeerd bilirubine | 3.7 | 0-10 mg/l |
| AF | 404 | 0-350 UI/l |
| AST (SGOT) | 647 | 0-500 UI/l |
| GGT | 60 | 0-40 UI/l |
| CK | 516 | 0-400 UI/l |
| LDH | 1711 | 0-900 UI/l |
| Totaal eiwit | 62 | 64-75 g/l |
| Albumine | 34.2 | 25-40 g/l |
| SAA | 152 | <25 mg/l |
Conclusie biochemie : licht verhoogde leverwaarden (AST, GGT, AF), CK en sterk verhoogd LDH. SAA verhoogd.
Deze bevindingen wijzen op een actieve inflammatoire en/of infiltratieve aandoening met betrokkenheid van de lever.
Beeldvorming en aanvullende diagnostiek
- Thoraxechografie: geringe aanwezigheid van comet-tail artefacten, geen consolidaties of vrij vocht.
- Abdominale echografie:
- Lichte onregelmatigheid ter hoogte van de caecumwand. Normaal linker en rechter colon.
- Normale dunne darmen (contractiliteit, wanddikte, inhoud, grootte).
- Meerdere hyperechogene letsels in het leverparenchym zonder akoestische schaduw.
- Rectaal onderzoek: duidelijke lymfadenopathie ter hoogte van de caecumband. Geen verdere afwijkingen.
- Transrectale echografie: bevestiging van vergrote lymfeknopen.
- Rectale biopten: geen significante afwijkingen.
- Gastroscopie: geen macroscopische afwijkingen.
- Pylorusbiopten: normaal.
- Gezien de combinatie van leverafwijkingen en lymfadenopathie werd onder echografische begeleiding een leverbiopsie uitgevoerd.


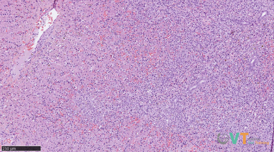
Histopathologisch onderzoek van het leverbiopt

Het histologisch beeld van de leverbiopten werd gedomineerd door een diffuse infiltratie van kleine tot middelgrote monomorfe lymfoïde cellen, voornamelijk gelokaliseerd in de portale en periportale gebieden. Kenmerkend is de lage mitotische activiteit, euchromatische, ronde tot licht gecirconvoluteerde kernen, hyperplasie van galgangen, matige portale fibrose, congestie van sinusoïden en opstapeling van hemosiderine in Kupffercellen en hepatocyten
Conclusie histopathologie: Laaggradig (indolent) kleincellig lymfoom van de lever. Er kon geen definitief onderscheid worden gemaakt tussen een primair hepatisch lymfoom en een secundaire uitbreiding vanuit het maagdarmkanaal.